| 
	
	 
		Сообщения без ответов | Активные темы | 
		
	 
	
	 
	
 
	
	
        
        
            | Автор | 
            Сообщение | 
         
        
			| 
				
				 Vaselisa 
				Постоянный посетитель 
				
					Зарегистрирован: 21 июн 2011, 11:18Сообщений: 530Откуда: КиевБлагодарил (а): 4 раз. Поблагодарили: 1 раз. Медали: 1
						
							
								  
							
				 
				
			 | 
			
				
					 
					
					 
				
				
					
						
						
							 
						
						
					
				 Добавленно: 20 июл 2011, 13:21    Re: БРЕКЕТЫ)))
				  
					
						iralev писал(а): Аля писал(а): Ой, как вспомню) В детстве мама заставляла носить пластинку для выравнивания зубов (едва заметный неправильный прикус. Но честно носила я ее недели 2     Ну жутко мешала разговаривать, особенно смешно с ней выговаривались шипящие звуки     Но потом как-то зубки сами практически выровнялись и все ок    И я носила пластинку, даже две в разное время. Ровняла буквально два зуба, но до чего же это была неприятная штука. Особенно, когда нужно было есть с ней и еда забивалась в щель между пластинкой и небом. Жуть     А чего стоит процедура создания слепка, когда сидишь пол часа с глиной во рту. Везет сейчас молодежи, что можно поставить брекеты. Сейчас, кстати, есть даже система Инвизэлайн (Invisalign) для выравнивания зубов Это новая американская технология, которая позволяет выровнять зубы при помощи уникальных прозрачных съемных капп, получивших название «контактных линз» для зубов. Состоит из плотно прилегающих пластиковых колпачков, специально спроектированных для каждого зуба и запрограммированных при помощи компьютера на определенное движение, приводящее к идеальной улыбке. Преимущества: незаметность, комфортное ношения, возможность снятия, отсутствие нарушения дикции и сложностей с гигиеной полости рта. Лечение длится от 3 до 15месяцев. Из недостатков – дороговизна системы и необходимости посещать ортодонта каждые 2недели (при других способах выравнивания зубов к врачу нужно обращаться 1в месяц).  а как она ровняет зубы, она же идеально ложится на каждый зуб, как я понимаю?  
					
  
			 | 
		 
		
			| Вернуться к началу | 
			
				  
			 | 
    	
		 
	| 
 |  
			| 
				
				 Азалия 
				Специалист 
				
					Зарегистрирован: 21 фев 2010, 19:34Сообщений: 2903Благодарил (а): 12 раз. Поблагодарили: 4 раз.
				  
				
			 | 
			
				
					 
					
					 
				
				
					
						
						
							 
						
						
					
				 Добавленно: 21 июл 2011, 13:24    Re: БРЕКЕТЫ)))
				  
					
						У девушки  зубки ровненькие, прекрасная улыбка , если эта система так выравнивает зубки то это прелесть. 
					
						_________________  
					
  
			 | 
		 
		
			| Вернуться к началу | 
			
				  
			 | 
    	
		 
	 |  
			| 
				
				 iralev 
				Иногда заглядываю 
				
					Зарегистрирован: 10 июл 2011, 10:41Сообщений: 121Откуда: КиевБлагодарил (а): 0 раз. Поблагодарили: 10 раз. Медали: 1
						
							
								  
							
				 
				
			 | 
			
				
					 
					
					 
				
				
					
						
						
							 
						
						
					
				 Добавленно: 22 июл 2011, 10:01    Re: БРЕКЕТЫ)))
				  
					
						Ортодонтическая система "Инвизилайн", разработанная Invisalign Technology, представляет собой серию назубных капп из прозрачного биополимера. Они съёмные, при этом в каждой каппе заложено микродвижение, которое при постоянном воздействии приводит к запланированному результату. На протяжении всего периода каждый зуб перемещается в нужном направлении. На весь курс лечения их требуется от 18 до 30 пар капп. Поскольку формы зубов каждого человека сугубо индивидуальны, набор капп для каждого пациента также изготовляется индивидуально. При этом используются весьма прогрессивные компьютерные технологии - компьютерная томография, трехмерное моделирование, стереолитография. Стандартизированная система диагностики в стоматологической клиники,  позволяет исключить возможные ошибки. Она включает получение оттисков с зубов специальным точным и безусадочным поливинилсилоксановым материалом, рентгеновские снимки и цифровые фотографии лица в фас и профиль. Таким образом, важные эстетические параметры лица будут учтены при планировании лечения в стоматологической клиники Генри Кларка.  Задача доктора при этом сводится к планированию перемещения зубов перед компьютерной системой. Для этого заполняется специальный "рецепт". Специалисты компании в США сканируют слепки лазерным 3D-сканером и получают точную электронную копию зубов и челюстей. Затем все данные (рентгенограммы, снимки, изображения и даже пожелания клиента) анализируются и выстраивается идеальная линия зубного ряда.
  После возможных изменений и получения согласия компьютер разрабатывает последовательность перемещения зубов с помощью лазерного напыления прозрачного биополимера, изготавливает каппы — своеобразные чехольчики на зубы. Внешне процесс выглядит завораживающе: материал наносят постепенно, каппы словно вырастают из ничего. Они точно соответствуют форме и размеру зубов клиента, прозрачны и прочны.
  Как и любое перемещение – передвижение зубов каппами Инвизэлайн происходит от действия силы на зуб. Компьютер моделирует каждую каппу таким образом, чтобы она оказывала давление в необходимом напрвалении и развивала заданную силу на зуб. Как только зуб выполнил программу каппы на перемещение – она перестает действовать на передвижение, и лишь только удерживает зуб в данном положении. Это и есть один этап лечения. Он длится до 2 недель. Далее происходит смена каппы на последующую… и так далее до последней. 
					
  
						
							
								
								 
								За это сообщение автора iralev поблагодарил: Vaselisa (22 июл 2011, 10:06) | 
							 
						 
					
			 | 
		 
		
			| Вернуться к началу | 
			
				    
			 | 
    	
		 
	 |  
			| 
				
				 Жаклин 
				Модератор 
				
					Зарегистрирован: 11 июн 2009, 22:28Сообщений: 12686Благодарил (а): 332 раз. Поблагодарили: 137 раз.
				  
				
			 | 
			
				
					 
					
					 
				
				
					
						
						
							 
						
						
					
				 Добавленно: 01 авг 2011, 12:56    Re: БРЕКЕТЫ)))
				  
					
						А такие капы выровняют зубы у парня 26 лет? Сколько стоит курс? 
					
  
			 | 
		 
		
			| Вернуться к началу | 
			
				  
			 | 
    	
		 
	 |  
			| 
				
				 tatkaaa 
				Я на пару минут 
				
					 Зарегистрирован:  10 ноя 2011, 18:58 Сообщений:  23 Благодарил (а): 0 раз. Поблагодарили: 0 раз.
				 
				
			 | 
			
				
					 
					
					 
				
				
					
						
						
							 
						
						
					
				 Добавленно: 17 янв 2012, 09:12    Re: БРЕКЕТЫ)))
				  
					
						Я в детстве носила брекеты! Дискомфорта было масса: и по отношению к самим зубам, и морально тоже (ребята частенько дразнили), но когда сняла, то результат был просто суперский )))) Сейчас красивые зубки    
					
						 _________________  Жизнь без полос - так не бывает.... Одно хочу лишь вам сказать: "Кто черной полосы не знает, тому и белой не познать…!"  
					
  
			 | 
		 
		
			| Вернуться к началу | 
			
				  
			 | 
    	
		 
	 |  
			| 
				
				 Жаклин 
				Модератор 
				
					Зарегистрирован: 11 июн 2009, 22:28Сообщений: 12686Благодарил (а): 332 раз. Поблагодарили: 137 раз.
				  
				
			 | 
			
				
					 
					
					 
				
				
					
						
						
							 
						
						
					
				 Добавленно: 26 янв 2012, 16:58    Re: БРЕКЕТЫ)))
				  
					
						А насколько у вас все плохо было и сколько вы ходили с брекетами? 
					
  
			 | 
		 
		
			| Вернуться к началу | 
			
				  
			 | 
    	
		 
	 |  
			| 
				
				 Ирена 
				Специалист 
				
					Зарегистрирован: 13 июл 2011, 09:17Сообщений: 13854Благодарил (а): 31 раз. Поблагодарили: 97 раз.
				  
				
			 | 
			
				
					 
					
					 
				
				
					
						
						
							 
						
						
					
				 Добавленно: 27 янв 2012, 16:04    Re: БРЕКЕТЫ
				  
					
						А что лучше брекеты или пластинка? Я в детстве пластинку носила, она отлично помогла выровнять зубы, только долго пришлось ее носить, около года. А брекеты сколько по времени нужно носить, также долго? И зубы от носения брекетов также болят как и от пластинки? 
					
						 _________________ Тільки тебе кохаю... Щиро ... Ніжно ... Дуже ... 
					
  
			 | 
		 
		
			| Вернуться к началу | 
			
				  
			 | 
    	
		 
	 |  
			| 
				
				 Жаклин 
				Модератор 
				
					Зарегистрирован: 11 июн 2009, 22:28Сообщений: 12686Благодарил (а): 332 раз. Поблагодарили: 137 раз.
				  
				
			 | 
			
				
					 
					
					 
				
				
					
						
						
							 
						
						
					
				 Добавленно: 29 янв 2012, 00:45    Re: БРЕКЕТЫ
				  
					
						Насколько я поняла, то пластинку носят дети в возрасте от 6 до 11 лет, а более старшим деткам уже брекеты ставят. С пластинкой, конечно, мороки больше: ее нужно мыть после каждого приема пищи, с ней сначала неудобно говорить, иногда винт подкручивать и т.д., по-этому сейчас многие родители ждут определенного возраста, чтоб поставить брекеты. 
					
  
			 | 
		 
		
			| Вернуться к началу | 
			
				  
			 | 
    	
		 
	 |  
			| 
				
				 yarik 
				Постоянный посетитель 
				
					Зарегистрирован: 19 июн 2009, 16:15Сообщений: 709Откуда: КиевБлагодарил (а): 32 раз. Поблагодарили: 1 раз.
				  
				
			 | 
			
				
					 
					
					 
				
				
					
						
						
							 
						
						
					
				 Добавленно: 29 мар 2012, 17:27    Re:
				  
					
						Жаклин писал(а): Будут ли результаты, если поставить брекеты в 26 лет? Кроме цены между брекетами, есть еще какая-нибудь разница? мне ставили брекеты, когда мне было 22. почти все стоматологи не хотели браться за мои зубы... хорошо, что обратилась к хорошему специалисту... сейчас мне 26 лет, мне давно уже сняли брекеты, но я до сих пор хожу с шинами...  самое главное в этом деле найти хорошего специалиста))))  
					
  
			 | 
		 
		
			| Вернуться к началу | 
			
				  
			 | 
    	
		 
	 |  
			| 
				
				 Yulinka 
				Специалист 
				
					Зарегистрирован: 18 авг 2009, 22:06Сообщений: 3136Благодарил (а): 18 раз. Поблагодарили: 8 раз.
				  
				
			 | 
			
				
					 
					
					 
				
				
					
						
						
							 
						
						
					
				 Добавленно: 30 мар 2012, 11:43    Re: Re:
				  
					
						yarik писал(а): Жаклин писал(а): Будут ли результаты, если поставить брекеты в 26 лет? Кроме цены между брекетами, есть еще какая-нибудь разница? мне ставили брекеты, когда мне было 22. почти все стоматологи не хотели браться за мои зубы... хорошо, что обратилась к хорошему специалисту... сейчас мне 26 лет, мне давно уже сняли брекеты, но я до сих пор хожу с шинами...  самое главное в этом деле найти хорошего специалиста)))) А брекеты какое время носили?  
					
  
			 | 
		 
		
			| Вернуться к началу | 
			
				  
			 | 
    	
		 
	 |  
			| 
				
				 ПНВ 
				Специалист 
				
					Зарегистрирован: 20 авг 2011, 12:48Сообщений: 8809Благодарил (а): 53 раз. Поблагодарили: 60 раз.
				  
				
			 | 
			
				
					 
					
					 
				
				
					
						
						
							 
						
						
					
				 Добавленно: 13 авг 2012, 12:52    Re: Re:
				  
					
						yarik писал(а): Жаклин писал(а): Будут ли результаты, если поставить брекеты в 26 лет? Кроме цены между брекетами, есть еще какая-нибудь разница? Моя подруга поставила в 28, так что думаю, что можно  
					
  
			 | 
		 
		
			| Вернуться к началу | 
			
				  
			 | 
    	
		 
	 |  
			| 
				
				 Larka 
				Специалист 
				
					Зарегистрирован: 20 июл 2011, 17:12Сообщений: 2070Благодарил (а): 3 раз. Поблагодарили: 21 раз.
				  
				
			 | 
			
				
					 
					
					 
				
				
					
						
						
							 
						
						
					
				 Добавленно: 14 авг 2012, 17:11    Re: БРЕКЕТЫ
				  
					
						Моя знакомая на днях поставила себе брекеты, в сови 32 года решила добиться голивудской улыбки))))посмотрим что с этого получиться...брекеты белые, так что на зубах их практически не заметно 
					
  
			 | 
		 
		
			| Вернуться к началу | 
			
				  
			 | 
    	
		 
	 |  
			| 
				
				 Airhostess 
				Постоянный посетитель 
				
					Зарегистрирован: 12 дек 2011, 12:17Сообщений: 799Благодарил (а): 2 раз. Поблагодарили: 7 раз.
				  
				
			 | 
			
				
					 
					
					 
				
				
					
						
						
							 
						
						
					
				 Добавленно: 14 авг 2012, 18:43    Re: БРЕКЕТЫ
				  
					
						А мне это так со стороны неестетично кажется... Может и помогает, но некрасиво.... 
					
  
			 | 
		 
		
			| Вернуться к началу | 
			
				  
			 | 
    	
		 
	 |  
			| 
				
				 Жаклин 
				Модератор 
				
					Зарегистрирован: 11 июн 2009, 22:28Сообщений: 12686Благодарил (а): 332 раз. Поблагодарили: 137 раз.
				  
				
			 | 
			
				
					 
					
					 
				
				
					
						
						
							 
						
						
					
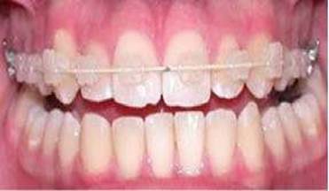
				 Добавленно: 18 авг 2012, 23:26    Re: БРЕКЕТЫ
				  
					
						Смотрится странно, но белые вполне ничего, ровные зубы оправдывают все жертвы) 
					
						
  
						Вложения: 
						
						
			 
			16657.jpeg [ 10.61 KIB | Просмотров: 6348 ]
		
		
	 
						
						 
					
			 | 
		 
		
			| Вернуться к началу | 
			
				  
			 | 
    	
		 
	 |  
			| 
				
				 Аврора 
				Модератор 
				
					Зарегистрирован: 11 фев 2010, 23:49Сообщений: 29627Благодарил (а): 134 раз. Поблагодарили: 79 раз.
				  
				
			 | 
			
				
					 
					
					 
				
				
					
						
						
							 
						
						
					
				 Добавленно: 24 авг 2012, 20:40    Re: БРЕКЕТЫ
				  
					
						Так эти брекеты, что на фото вполне нормально смотрятся. 
					
						_________________  
					
  
			 | 
		 
		
			| Вернуться к началу | 
			
				  
			 | 
    	
		 
	 |  
			| 
				
				 Зефирка 
				Специалист 
				
					Зарегистрирован: 25 янв 2009, 20:27Сообщений: 6685Откуда: КиевБлагодарил (а): 43 раз. Поблагодарили: 39 раз.
				  
				
			 | 
			
				
					 
					
					 
				
				
					
						
						
							 
						
						
					
				 Добавленно: 26 авг 2012, 00:18    Re: БРЕКЕТЫ
				  
					
						Мне не нравится, как выглядят зубки, хотя получше, чем с обычными брекетами. 
					
  
			 | 
		 
		
			| Вернуться к началу | 
			
				  
			 | 
    	
		 
	 |  
			| 
				
				 Искра 
				Я на пару минут 
				
					 Зарегистрирован:  18 фев 2012, 19:57 Сообщений:  25 Благодарил (а): 0 раз. Поблагодарили: 0 раз.
				 
				
			 | 
			
				
					 
					
					 
				
				
					
						
						
							 
						
						
					
				 Добавленно: 26 авг 2012, 00:40    Re: БРЕКЕТЫ
				  
					
						Девочки у подружки дочке надо "одеть" брекеты. Она сильно расстраиваится, что дочка будет комплексовать. Я ей объясняю на сколько неправильный прикус подскажите неужели это так некрасиво? Или если потратить чуток больше денег, то дискомфорта не будет? 
					
  
			 | 
		 
		
			| Вернуться к началу | 
			
				  
			 | 
    	
		 
	 |  
			| 
				
				 Жаклин 
				Модератор 
				
					Зарегистрирован: 11 июн 2009, 22:28Сообщений: 12686Благодарил (а): 332 раз. Поблагодарили: 137 раз.
				  
				
			 | 
			
				
					 
					
					 
				
				
					
						
						
							 
						
						
					
				 Добавленно: 02 сен 2012, 16:17    Re: БРЕКЕТЫ
				  
					
						Искра, ссылки у нас строго запрещены! Выношу вам устное предупреждение! 
					
  
			 | 
		 
		
			| Вернуться к началу | 
			
				  
			 | 
    	
		 
	 |  
			| 
				
				 Frosya 
				Могу подсказать 
				
					Зарегистрирован: 12 мар 2010, 18:18Сообщений: 1664Благодарил (а): 2 раз. Поблагодарили: 7 раз.
				  
				
			 | 
			
				
					 
					
					 
				
				
					
						
						
							 
						
						
					
				 Добавленно: 05 сен 2012, 14:56    Re: БРЕКЕТЫ
				  
					
						Зефирка писал(а): Мне не нравится, как выглядят зубки, хотя получше, чем с обычными брекетами. А что поделать если носить нужно, там уже нравится - не нравится роли не играет.  
					
						_________________  
					
  
			 | 
		 
		
			| Вернуться к началу | 
			
				  
			 | 
    	
		 
	 |  
			| 
				
				 Kateruwka 
				Иногда заглядываю 
				
					Зарегистрирован: 17 авг 2012, 19:21Сообщений: 67Благодарил (а): 1 раз. Поблагодарили: 0 раз.
				  
				
			 | 
			
				
					 
					
					 
				
				
					
						
						
							 
						
						
					
				 Добавленно: 07 сен 2012, 21:47    Re: БРЕКЕТЫ
				  
					
						Как говорится красота требует жертв! Ведь круто когда потом ут ебя зубки ровные и не нужно стесняться улыбаться. 
					
  
			 | 
		 
		
			| Вернуться к началу | 
			
				  
			 | 
    	
		 
	 |  
	
		 | 
	 
	
	 
	
	
 
 
 
 
	 | 
	Вы не можете начинать темы Вы не можете отвечать на сообщения Вы не можете редактировать свои сообщения Вы не можете удалять свои сообщения Вы не можете добавлять вложения
  | 
 
 
	 
	
	 |